Enfermagem atualizada... PNEUMONIA ATÍPICA

En inglés, la neumonía atípica suele denominarse «walking pneumonia», precisamente por su presentación clínica más leve, que permite al paciente continuar con sus actividades cotidianas, a diferencia de las formas más clásicas de neumonía que, por regla general, son muy debilitantes, impiden al paciente trabajar o ir a la escuela y a menudo requieren hospitalización.
Neumonía atípica Qué es, causas, síntomas, tratamiento y más

A pneumonia hospitalar ou nosocomial é aquela que ocorre 48h após o internamento e que não estava em incubação na altura da admissão. A doença não apresenta sintomas específicos que permitam um diagnóstico imediato. De facto, os indícios que normalmente se observam são comuns a muitas enfermidades do aparelho respiratório e de.
Neumonía Típica y Atípica Medical Tips uDocz

A pneumonia atípica é uma infecção pulmonar causada por micro-organismos menos comuns que os da pneumonia normal, onde se incluem as bactérias, o Mycoplasma pneumoniae, a Legionella pneumophila ou a Chlamydophila pneumoniae, por exemplo. Este tipo de pneumonia geralmente é contagioso através do contato com gotículas de saliva da pessoa infectada e, por isso, é mais comum entre pessoas.
Neumonia Mind Map

A pneumonia atípica é uma infecção respiratória causada por diferentes tipos de patógenos, como vírus, fungos ou bactérias (Mycoplasma pneumoniae, Legionella pneumophila ou Chlamydophila pneumoniae), que não são tipicamente identificados em pneumonias tradicionais.Ela é chamada de "atípica" porque seus sintomas e respostas ao tratamento variam, além de ser conhecida como uma.
Pneumonia O que é, Causas, Sintomas e Tratamentos Cannalize

Os quatro principais tipos de pneumonia que são caracterizados com base na causa: bacteriana, viral, fúngica e adquirida no hospital. Na maioria das vezes, "não há como saber se uma pneumonia está sendo causada por uma bactéria, um vírus ou um fungo apenas pelo exame", afirma Wu. "A maioria das pneumonias acaba não recebendo um.
O QUE É PNEUMONIA? QUAIS SUAS CAUSAS E SINTOMAS? YouTube

Definition. A pneumonia bacteriana atípica é causada por organismos atípicos que não são detectáveis à coloração de Gram e não podem ser cultivados por meio dos métodos padrão. Os organismos mais comuns são o Mycoplasma pneumoniae, a Chlamydophila pneumoniae e a Legionella pneumophila. Em geral, a pneumonia bacteriana atípica é.
Resumo de pneumonia manifestações clínicas, diagnóstico e mais!

Dezembro 15, 2022 por Admin. A principal diferença entre pneumonia típica e atípica é que a pneumonia típica é uma forma de pneumonia adquirida na comunidade que tende a apresentar sintomas mais graves que surgem repentinamente e precisam de hospitalização, enquanto a pneumonia atípica é uma forma de pneumonia adquirida na comunidade.
Pneumonia Atípica O que é, Sintomas e Tratamentos! Cura Natural

Pneumonia é uma infeção pulmonar profunda. A infecção envolve pequenos sacos de ar nos pulmões (alvéolos). Pneumonia é diferente da infecção nas vias aéreas (brônquios) dos pulmões. A infecção das vias aéreas é chamada bronquite Bronquite aguda Os brônquios são tubos que levam ar para dentro dos pulmões. Bronquite é quando.
O QUE É PNEUMONIA?

Quando se trata de pneumonia atípica, geralmente há um tipo de barulho ao respirar denominado chiado. É um som parecido com o do vento. Às vezes, radiografias de tórax também são realizadas, pois costumam revelar a infecção. Como a maioria das causas são bactérias, o tratamento mais utilizado são os antibióticos.
Pneumonias Conceito Classificações Fisiopatologia Manifestações Clíni…

Fungos: Histoplasma capsulatum, Coccidioides immitis e Cryptococcus neoformans; Vírus: Vírus respiratório sincicial (VRS), o adenovírus e o vírus da influenza A e B; Como se pega a pneumonia atípica. A pneumonia atípica é uma doença contagiosa que pode ser transmitida por meio de gotículas de saliva infectadas liberadas quando uma pessoa infectada tosse ou espirra.
Pneumonia é grave? Veja o tratamento e sintomas da doença [resumo]

Quadro clínico da pneumonia. A apresentação clínica da pneumonia pode ser gradativa ou fulminante e é marcada por febre, taquicardia ou calafrios e/ou sudorese. Também, tosse, que pode ser seca ou produtiva com escarro variável, dor torácica e dispneia. Alguns pacientes referem sintomas gastrointestinais, como náuseas, vômitos e diarreia.
Comunicação DF News Pneumonia atípica o que é, sintomas, causas e tratamento

Existe um grupo de bactérias, entre elas Mycoplasma, Legionella e Clamídia, que causam as chamadas pneumonias atípicas.São formas que podem ter evolução mais lenta e com quadro não tão óbvio de pneumonia. Para saber mais sobre a pneumonia atípica por legionella, leia: Legionelose - Doença do Legionário. Para mais informações sobre as pneumonias atípicas, leia: Pneumonias.
Pneumonia sintomas, tipos e como é o tratamento

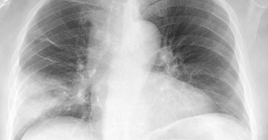
Uma sugestão é iniciar da periferia seguindo para as estruturas do centro, por exemplo: partes moles — arcabouço ósseo — mediastino e traqueia — hilos e trama vascular pulmonar — cúpulas e seios costofrênicos — coração e aorta). OS ACHADOS DE IMAGEM: no contexto de uma pneumonia, caracteristicamente encontramos áreas de.
Pneumonia bacteriana entenda o que é, as causas, os sintomas e o tratamento Saúde G1
:strip_icc()/s03.video.glbimg.com/x720/4169870.jpg)
Visão Educação para o paciente. A pneumonia é a inflamação aguda dos pulmões causada por infecção. Em geral, o diagnóstico inicial baseia-se em radiografia de tórax e achados clínicos. Causas, sintomas, tratamento, medidas preventivas e prognóstico diferem dependendo de a infecção ser bacteriana, micobacteriana, viral, fúngica.
Pneumonia Symptoms, Causes, & Treatment
.jpg)
O principal sintoma da pneumonia aguda é, geralmente, a tosse que surge juntamente com pelo menos outro sintoma, a saber: Expetoração; Febre; Falta de ar ou dificuldade em respirar; Desconforto no peito ou dor do tipo "pontada", "dor nas costas". Da síndrome clínica da pneumonia podem constar ainda outros sintomas, tais como.
APRENDA COMO IDENTIFICAR UMA PNEUMONIA ATÍPICA NO RAIO X DE TÓRAX YouTube

O Mycoplasma pneumoniae causa infecções respiratórias que variam de leves a moderadas e são caracterizadas por uma tosse persistente. Chlamydophila pneumoniae: outra causa comum de pneumonia atípica, afetando indivíduos de todas as idades. As infecções por Chlamydophila pneumoniae (antigamente chamada Chlamydia pneumoniae) geralmente.